Dental Auction No. 11561: Several extractions and All-on-4 Top and bottom arches
Toothchart | Treatment Plan
| Restorative | HY | HY | HY | HY | HY | HY | HY | HY | HY | HY | HY | HY | HY | HY | ||
| Surgical | X | X | X/IMP | X | X/IMP | X | X | X | X/IMP | X | X/IMP | X | X | X | ||
| Current situation | x | c | c | c | c | x | x | c | c | x | x | c | c | c | x | x |
| Tooth # | 1 | 2 | 3 | 4 | 5 | 6 | 7 | 8 | 9 | 10 | 11 | 12 | 13 | 14 | 15 | 16 |
| Tooth # | 32 | 31 | 30 | 29 | 28 | 27 | 26 | 25 | 24 | 23 | 22 | 21 | 20 | 19 | 18 | 17 |
| Current situation | x | c | c | x | ||||||||||||
| Surgical | X | X | X/IMP | X | X/IMP | X | X | X | X/IMP | X | X/IMP | X | X | X | ||
| Restorative | HY | HY | HY | HY | HY | HY | HY | HY | HY | HY | HY | HY | HY | HY |
Cost calculation
Total costs proposed:
$ 39,000
- Estimated insurance payment
$ 0
- Estimated patient discount
$ 0
= Estimated Patient Portion
$ 39,000
List of Abbreviations
| BG | Bone graft |
| B | Bridge |
| BU | Build-up |
| F | Composite filling |
| C | Crown |
| D | Denture |
| E | Extraction |
| I | Implant |
| X | Missing tooth |
| O | Osseous surgery |
| P | Partial |
| PC | Post & core |
| SRP | Periodontal therapy (SRP) |
| R | Root canal |
| SL | Sinus lift |
Material
For dentures:
Synthetic
Auction details
Overall information (upper arch)
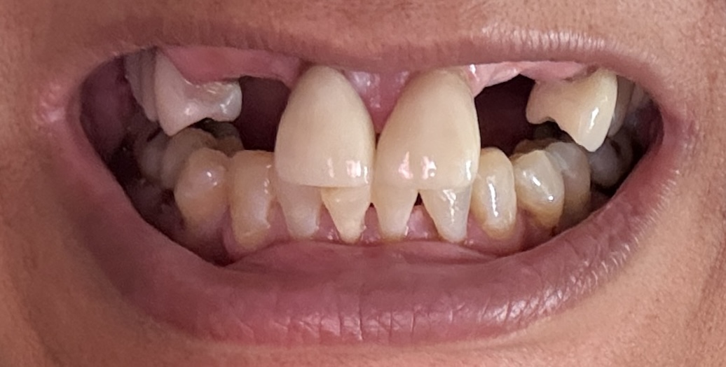
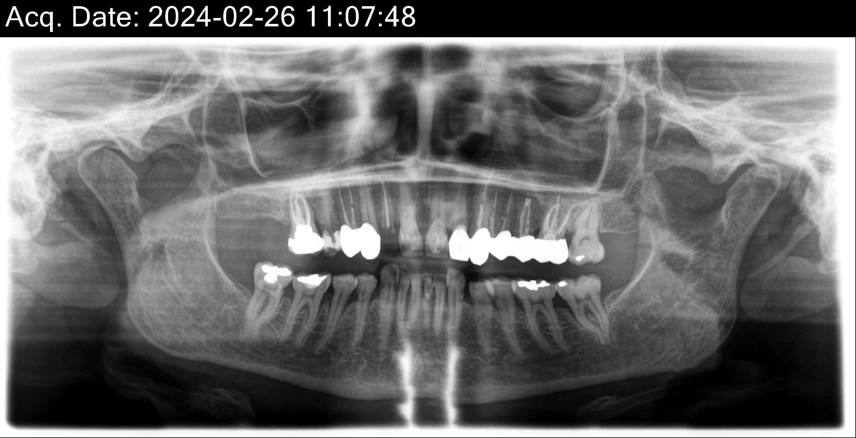
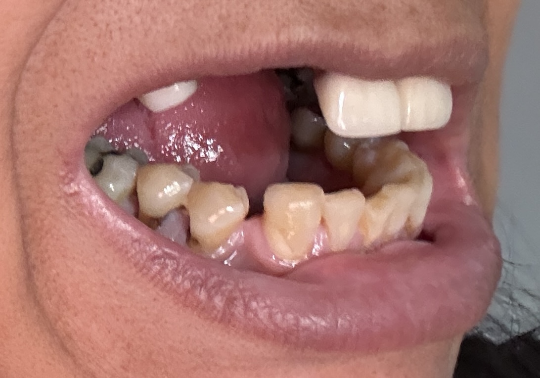
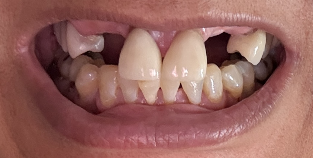
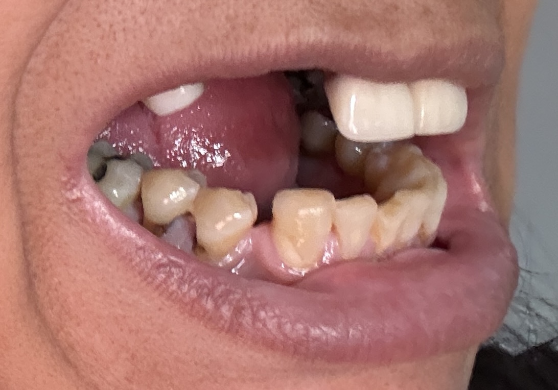
12,13,14 have had root canals in past and now have quite a bit movement. 2-5 have all had root canals in past and now the crowns are breaking down.
Overall information (lower arch)
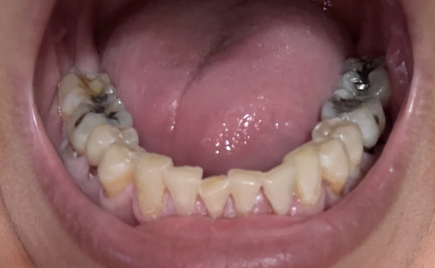
Overall, all of my gums have receded and most of the bottom teeth are exposed w/ some roots and there are many cavities.
Auction information
Status:
Auction ended
Location:
14214 Buffalo, NY
